Конкурсы
Список конкурсов
Экспертиза
Государственные премии
Классификатор
Поиск проектов
Вопросы и ответы
Как стать экспертом РНФ
О Фонде
Фонд сегодня
Органы управления
Международное сотрудничество
Хозяйственная деятельность
Результаты за 2024 год
Десятилетие Фонда
Эмблема
Новости
Все новости
Новости Фонда
СМИ о Фонде
Интервью
Пресс-релизы
Дайджесты
Всероссийский лекторий РНФ
Популяризация науки
Расскажите о своем исследовании
Документы
Контакты
ИАС
Конкурсы
Экспертиза
Государственные премии
Классификатор
Поиск проектов
Вопросы и ответы
Как стать экспертом РНФ
О Фонде
Общие сведения
Органы управления
Попечительский совет
Генеральный директор
Правление
Экспертные советы
Международное сотрудничество
Хозяйственная деятельность
Закупки
Инвестиции
Аудит
Результаты за 2024 год
Десятилетие Фонда
Эмблема
Новости
Новости Фонда
СМИ о Фонде
Интервью
Пресс-релизы
Дайджесты
Всероссийский лекторий РНФ
Популяризация науки
Расскажите о своем исследовании
Документы
Контакты
Для СМИ
ИАС
ENG
ENG
Новости
Категория
Новости
Все
СМИ о Фонде
Новости Фонда
Интервью
Пресс-релизы
3 августа, 2021
«Технопром – 2021» станет площадкой для взаимодействия науки и бизнеса в России
Международный научно-технологический форум «Технопром – 2021» пройдет в Новосибирске с 25 по 27 ав...
3 августа, 2021
Томские ученые выявили новые гены и участки хромосом, изменение в числе копий которых связано с развитием умственной отсталости
Ученым НИИ медицинской генетики Томского НИМЦ впервые удалось идентифицировать новые гены и хромос...
2 августа, 2021
Вирусолог Александр Лукашев: «Сколько мышиных жизней стоит одна человеческая?»
Российский научный фонд выступил с инициативой об исследовательской биоэтике, и руководитель рабоч...
2 августа, 2021
В глубины поверхности. На проблемы трения посмотрят свежим взглядом
«Всем нам случалось выходить в гололедицу, – писал французский физик Гильом. – Сколько усилий стои...
2 августа, 2021
Ученые рассчитали, кому по состоянию здоровья на Руси жить хорошо
Географы МГУ имени М. В. Ломоносова (Москва) проанализировали показатели здоровья граждан различны...
30 июля, 2021
Ученые выяснили, какие факторы среды наиболее важны для рачков из озер тундры
Российские исследователи проанализировали факторы, влияющие на наиболее чувствительных к внешним и...
30 июля, 2021
Молодой ученый КФУ разрабатывает метод детоксикации микропластика
Научный сотрудник НИЛ OpenLab Бионанотехнологии Института фундаментальной медицины и биологии Казанс...
29 июля, 2021
Ученые Центра Мешалкина создадут прототип искусственного клапана сердца для детской кардиохирургии
Самораскрывающийся протез клапана легочной артерии для транскатетерной имплантации будет обладать ...
28 июля, 2021
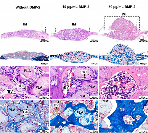
Ученые МГНЦ разрабатывают генотерапевтический материал для восстановления костной ткани
Проект, поддержанный РНФ, направлен на разработку технологий генной терапии на основе аденовирусных...
27 июля, 2021
РНФ направит 8,3 миллиарда рублей на поддержку проектов с участием аспирантов и молодых ученых
Российский научный фонд (РНФ) увеличит число проектов, в которых принимают участие аспиранты и мол...
23 июля, 2021
Паразиты из копролитов помогли раскрыть диету неолитических собак Смоленской области
Археологи Государственного Эрмитажа совместно с французскими коллегами-палеонтологами проанализиро...
23 июля, 2021
Наталия Зиновьева — о национальной генетической коллекции скота и об этической экспертизе
Российский научный фонд выступил с инициативой об исследовательской биоэтике, и руководитель рабоч...
22 июля, 2021
Ученые изучили содержание токсинов в почвах Нижнего Дона
По берегам Нижнего Дона располагаются крупные города с развитой промышленностью и с...
22 июля, 2021
Поглощает волны радаров. Ученые создали полимерный композит на основе графена
Ученые разработали новый композитный материал на основе нанографита. Он может поглощать до 99,9% эле...
22 июля, 2021
Цифровой след расскажет о психологическом портрете студента
Магистрантка Института прикладной математики и компьютерных наук Томского госуниверситета Екатерин...
22 июля, 2021
РНФ запустил виртуальные экскурсии по легендарному новосибирскому Институту ядерной физики СО РАН
В 1963 году в Институте ядерной физики имени Г.И. Будкера Сибирского отделения (ИЯФ) РАН был постр...
21 июля, 2021
Сибирские ученые борются с насекомыми-вредителями
В наши дни энтомопатогенные грибы часто используются в основе биологических препаратов для защиты ...
21 июля, 2021
Сканеры и томографы станут более зоркими
Российские ученые разработали излучатели, которые эффективно преобразуют лазерное излучение в тера...
назад
1
...
164
165
166
167
168
...
340
166
/
340
вперёд