Новости

28 июля, 2021 16:08

Ученые МГНЦ разрабатывают генотерапевтический материал для восстановления костной ткани

Проект, поддержанный РНФ, направлен на разработку технологий генной терапии на основе аденовирусных конструкций, несущих ген костного морфогенетического белка BMP-2. Его синтез в клетках пациента будет приводить к эффективному образованию костной ткани именно в том месте, где необходимо восполнить ее недостаток. Аденовирусные векторы с геном BMP-2, а также клеточные культуры с этими векторами, будут нанесены на поверхности биосовместимых материалов для адресной доставки в область костного дефекта.
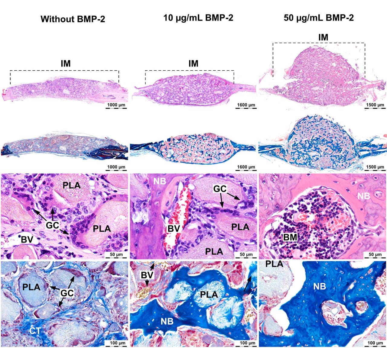
На фото: образование костной ткани под действием остеоиндуктора, материала, содержащего белок BMP-2. Фото предоставлено пресс-службой МГНЦ

Известно, что главным недостатком применения аденовирусных конструкций является высокая вероятность развития иммунного ответа. Для снижения иммунной реакции в материал будут добавлены противовоспалительные препараты, чтобы обеспечить локальное терапевтическое действие в зоне регенерации.

Дмитрий Гольдштейн, руководитель лаборатории генетики стволовых клеток МГНЦ, д.м.н., профессор:

«Количество костно-пластических операций растет в среднем на 14,4% в России и 13% в США и составляет около 2,2 млн операций в год. Несмотря на обилие костно-пластических материалов, самым эффективным методом лечения костных дефектов является трансплантация собственной костной ткани пациента благодаря наличию в ней остеоиндуктивных факторов роста, которые стимулируют образование костной ткани. Однако аутотрансплантация предполагает формирование дополнительного операционного поля, что сопровождается болевыми ощущениями для пациента, потерей крови, развитием гематом и другими нежелательными последствиями. Существующие немногочисленные препараты с использованием остеоиндукторов белковой природы имеют ряд недостатков, связанных с ограниченной продолжительностью действия и риском развития гиперостоза. Новый материал позволит избежать проблем, связанных с аутотрансплантацией, он приведет к формированию костной ткани в области ее дефицита в короткие сроки, обеспечив быстрое выздоровление пациента».

Ранее в лаборатории генетики стволовых клеток Медико-генетического научного центра им. академика Н.П. Бочкова были разработаны матрицы костно-пластических материалов на основе природных и синтетических полимеров, способные рассасываться в организме пациента, замещаясь тканями. Матрицы могут служить носителями для клеток, белковых молекул и генетических конструкций, их эффективность для образования новой костной ткани уже доказана. Также в лаборатории исследовали способность нестероидных противовоспалительных препаратов изменять микроокружение клеток после трансплантации и тем самым влиять на характер регенерации костной ткани. Применение генных и генно-клеточных конструкций с геном остеоиндуктивного фактора BMP-2 в сочетании с биосовместимыми материалами и противовоспалительными препаратами позволит обеспечить эффективную органотипическую регенерацию в области костного дефекта, не уступающую по эффективности костной аутотрансплантации, то есть, методике замещения недостающего участка кости собственной костной тканью пациента.

В последние годы во всем мире интенсивно разрабатываются методы генной терапии для профилактики и лечения заболеваний. Среди них наиболее безопасными являются методы доставки целевых генов с помощью аденовирусных векторов. Такие векторы не интегрируются в ядерный геном. Успешным примером генноинженерного препарата на основе аденовирусов является российская вакцина против коронавируса «СпутникV», которая обеспечивает эффективное проникновение конструкций с геном S-белка коронавируса в клетки пациента. Это приводит к активной секреции этого белка и формированию иммунного ответа. Механизм действия нового генотерапевтического препарата для регенерации костной ткани сравним с механизмом действия этой вакцины.

20 апреля, 2026
Ученые разработали подход двойного действия для лечения поражений печени и стимуляции ее восстановления
Ученые разработали эффективный подход на основе наночастиц с загруженными в них микроРНК-200а для л...
10 апреля, 2026
Устройство спектра: ученые из России сделали шаг к созданию первого лекарства от аутизма
Российские специалисты выяснили, что сниженная способность к обучению у мышей с аутистичным поведе...

Хотите рассказать о своем исследовании? Заполните форму на нашем сайте