Новости

24 января, 2022 11:33

Шанс на рождение. Открытие нейробиологов сохранит многие жизни

Источник: Поиск
Нейробиологи Томского государственного университета (ТГУ) при поддержке РНФ изучают врожденные аномалии головного мозга детей в пре- и постнатальном периоде. В ходе исследования такой патологии, как агенезия мозолистого тела – отсутствие либо недоразвитие данного отдела головного мозга, было установлено, что его функции могут брать на себя другие мозговые структуры. Благодаря этому когнитивные способности человека в большинстве случаев сохраняются. Новые данные могут кардинально изменить клиническую практику и привести к уменьшению случаев неоправданных прерываний беременности.
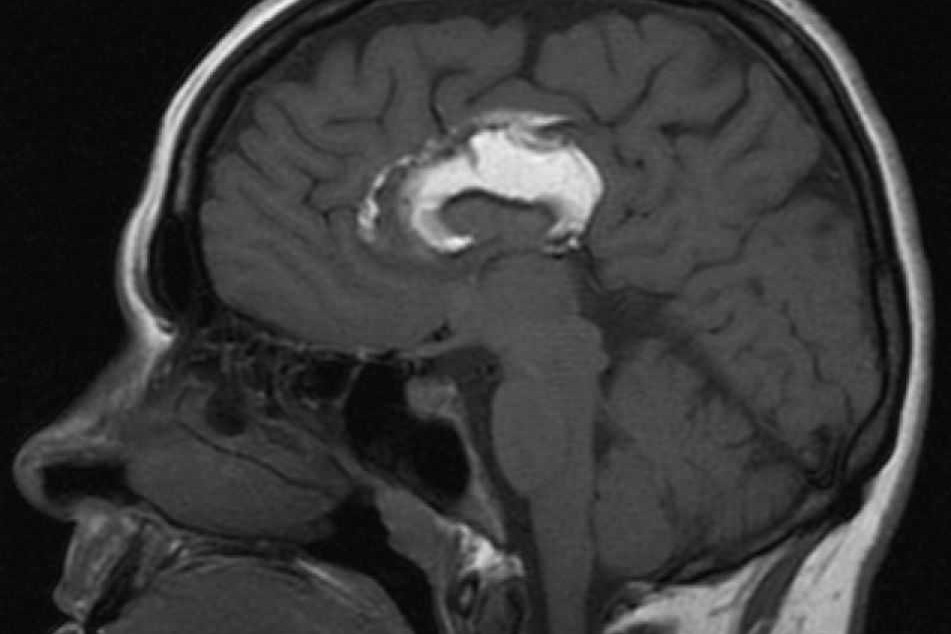
Источник: Jiménez Caballero

Для проведения исследований головного мозга ученые использовали технологию картирования миелина – вещества, из которого состоит оболочка нервных волокон. Уникальный неинвазивный метод разработан нейробиологами ТГУ. Созданные ими протоколы МРТ и специальные алгоритмы обработки изображений позволяют оценивать количество миелина, что является важным показателем при оценке развития головного мозга ребенка или плода. В рамках проекта РНФ ученые ТГУ вместе со специалистами Международного томографического центра СО РАН (Новосибирск) изучают самые ранние стадии формирования миелина в процессе внутриутробного развития плода.

“Мозолистое тело (МТ), отвечающее за связь между полушариями головного мозга, было выбрано в качестве объекта исследования не случайно, – объясняет ведущий научный сотрудник, заведующая отделением медицинской диагностики Международного томографического центра (МТЦ) СО РАН, доктор медицинских наук Александра Коростышевская. – Аномалии развития мозолистого тела встречаются нередко. Среди всех аномалий развития головного мозга нарушение строения его срединных структур занимает 47%, из них 40% связаны с недоразвитием (агенезией) мозолистого тела. Жизненный прогноз для таких детей пока однозначно не определен. Поэтому врачи и родители стоят перед крайне сложным выбором: оставить беременность с риском рождения умственно неполноценного ребенка либо прервать ее”.

Увидеть особенности аномалии с помощью пренатального УЗИ возможно далеко не всегда. Почти в половине случаев при подозрении на агенезию мозолистого тела необходима МРТ головного мозга плода. МРТ плода – обследование технически сложное, поскольку плод, плавающий в амниотической жидкости, почти постоянно пребывает в движении. Специалисты Международного томографического центра СО РАН одними из первых в РФ внедрили эту диагностическю технологию в 2008 году и более 13 лет совершенствуют ее.

Фундаментально новым шагом в мировой практике стала разработка метода количественного картирования миелина в мозге плода в результате сотрудничества с коллегами из ТГУ.

“За время реализации нашего проекта была набрана репрезентативная выборка плодов с агенезией мозолистого тела, – рассказывает руководитель проекта, научный руководитель лаборатории нейробиологии НИИ ББ ТГУ, профессор ТГУ и Вашингтонского университета Василий Ярных. – При их сравнении с плодами без отклонений от нормы мы увидели картину, которая оказалась совершенно неожиданной: развитие миелина в центральных структурах головного мозга у плодов с отсутствием мозолистого тела происходит значительно быстрее, чем у нормальных плодов. Другими словами, задержка или отсутствие развития одного отдела головного мозга компенсируется развитием других его структур, и они берут на себя функцию связующего звена между полушариями”.

Это наблюдение свидетельствует об удивительном эффекте нейропластичности головного мозга и во многом объясняет, почему люди, у которых не сформировано мозолистое тело, при отсутствии других аномалий мозга функционально могут быть абсолютно полноценными. По словам клиницистов, в настоящее время при обследовании взрослых пациентов 50-70 лет нередко выявляют людей, в головном мозге которых отсутствует мозолистое тело. При этом они ведут обычный образ жизни, имеют образование, профессию, семьи. Поскольку на момент их рождения современные инструментальные методы обследования, такие как МРТ и УЗИ, были недоступны, родители этих детей не подозревали об аномалии развития. Очевидно, что у этих людей мозг «включил» свои компенсаторные возможности, и функции мозолистого тела взяли на себя другие отделы мозга. Для понимания механизмов нейропластичности важно выяснить, какие структуры головного мозга в таких ситуациях готовы работать за себя и за других.

“Мы изучаем плод на той стадии развития, когда миелин только начинает формироваться, – говорит Василий Ярных. – На основании изучения карт миелина мы увидели, что ускоренная миелинизация при агенезии мозолистого тела происходит в продолговатом мозге и распространяется на мозжечок. Это позволяет предположить, что стволовые структуры мозга могут брать на себя функцию связи между полушариями. Ранее считалось, что компенсаторные связи при отсутствии мозолистого тела обеспечивают другие зоны мозга, в которых миелин формируется уже после рождения. Мы получили фундаментально новые данные, которые меняют привычное представление о том, как происходит взаимодействие между различными отделами головного мозга”.

Практическая значимость открытия, сделанного учеными ТГУ и МТЦ СО РАН, заключается в том, что наличие новых количественных доказательных данных может значительно изменить клиническую практику и дать шанс на рождение детям, которым ранее прогноз обещал функциональную неполноценность и социальную дезадаптацию.

“Ранее считалось, что полное отсутствие мозолистого тела – это фатальное нарушение, поэтому, если такая аномалия обнаруживалась на сроке до 21-23 недель, беременность предлагали прерывать, – говорит Александра Коростышевская. – Теперь же очевидно, что при отсутствии мозолистого тела нужно исключать сопутствующую патологию центральной нервной системы и генетические синдромы. Если их нет, то прогноз для плода вполне благоприятный. Безусловно, еще нужны более широкомасштабные исследования, но полученные данные уже в корне меняют отношение к такой аномалии, как агенезия мозолистого тела”.

В январе 2022 года ученые представят новые данные в формате устного доклада на конгрессе Американского общества детских нейрорадиологов в Майами.

10 апреля, 2026
Устройство спектра: ученые из России сделали шаг к созданию первого лекарства от аутизма
Российские специалисты выяснили, что сниженная способность к обучению у мышей с аутистичным поведе...
1 апреля, 2026
Новый бесконтактный метод исследования сосудов способен «увидеть» работу глубоких артерий мозга
Впервые ученые смогли экспериментально доказать, что разработанный ими «зеленый фонарик» для сосуд...

Хотите рассказать о своем исследовании? Заполните форму на нашем сайте