Томские ученые нашли неизвестный ранее род бактерии в подземных скважинах Западной Сибири и смогли получить бактерию "смелый путешественник", которую ученые со всего мира не могли "поймать" 10 лет. Об этом сообщили ТАСС в Минобрнауки РФ.
"Открытием ученых Томского госуниверситета (ТГУ) стал новый род и семейство бактерий - "родственников" Desulforudis audaxviator. Найти их удалось в подземных скважинах в Западной Сибири: в артезианской воде в Белом Яре (Томская область), возле Новокузнецка в угольных пластах в зоне добычи метана (Кемеровская область) и в глубинных водах в Тюменской области. По геному эти обитатели близки к "смелому путешественнику", но не настолько, чтобы причислить их к одному виду, роду или даже семейству", - сказано в сообщении.
Новый род назвали Desulfosceptrum tomskiensis, а новое семейство бактерий - Desulfosceptrumaceae. В первой части названия содержится отсылка к форме клеток бактерий, образующих споры. Они напоминают скипетр (лат. sceptrum). Вторая часть названия - tomskiensis - содержит отсылку к территории Томской области.
"Смелый путешественник"
Помимо открытия нового рода, томским микробиологам удалось получить бактерию "смелый путешественник", которая известна способностью жить в условиях, близких к марсианским. Название микроорганизму ранее дали американские ученые, которые нашли его ДНК на большой глубине в шахтных водах золоторудного месторождения в Южной Африке, но так и не смогли "поймать". Десять лет ученые со всего мира пытались получить эту бактерию, но вытащить ее смогли ученые ТГУ в подземных водах термального источника в Верхнекетском районе Томской области. Ее геном оказался идентичным с геномом бактерии из Южной Африки.

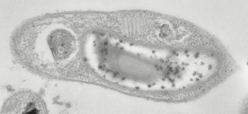
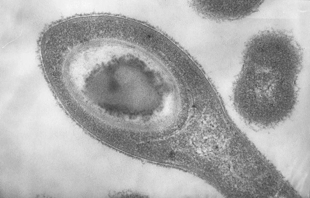
Desulforudis audaxviator («смелый путешественник»). Источник: ТГУ
"Геном "смелого путешественника" не менялся со времен Пангеи - суперконтинента, существовавшего около 335-175 млн лет назад. Это противоречит нашим представлениям о Дарвиновской эволюции, предполагающей, что в организмах накапливаются изменения, которые позволяют им лучше приспособиться к условиям окружающей среды", - отметила заведующая кафедрой физиологии растений, биотехнологий и биоинформатики Биологического института ТГУ Ольга Карначук.
Предполагают, что "смелый путешественник" изначально жил не под землей, а на поверхности. На это указывают газовые вакуоли - пузырьки воздуха, которые помогают бактерии плавать. Скорее всего, Desulforudis audaxviator попал вглубь земли с дождевой водой, а там условия оказались для него даже лучше, чем на поверхности. Возможно, когда-то он передвигался по воздуху и распространился по планете именно благодаря этим вакуолям.
Исследования проведены в рамках проекта "Культивирование, характеристика физиологии и геохимической активности трудно культивируемых экстремофильных Bacteria" при поддержке РНФ (а также в рамках проекта "Микробная темная материя: идентификация и характеристика новых некультивируемых линий бактерий и архей" - прим. ред. сайта). Статья вышла в свежем номере журнала Environmental Microbiology.