Новости

8 апреля, 2022 14:08

Биологи обнаружили в «сибирских джунглях» новый вид почвенной амебы

Ученые из Санкт-Петербургского государственного университета совместно с коллегами из Томска и Новосибирска обнаружили новый вид почвенной амебы Leptomyxa silvatica n. sp. в черневой тайге Западной Сибири. Результаты исследования были опубликованы в журнале Protistology. 
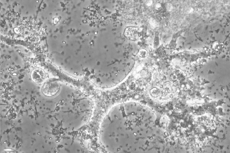
Световая микроскопия Leptomyxa silvatica. Источник: пресс-служба СПбГУ

Черневая тайга (так называемые сибирские джунгли) — регион Западной Сибири, включенный в реестр уникальных экосистем Всемирного фонда дикой природы. Этот регион отличается исключительным биоразнообразием.

Как отметила профессор СПбГУ Алла Лапидус, первое, что привлекает внимание в черневой тайге, — совершенно необъясненный гигантизм трав. К примеру, летом травяной покров «сибирских джунглей» имеет среднюю высоту 1,5–2 метра, то есть он способен полностью скрыть человека или всадника на коне.

«Мне пришла в голову идея, что этот гигантизм является результатом влияния не столько климатических условий, сколько, скорее всего, объясняется уникальными свойствами микробиоты почвы. И если в этом феномене хорошо разобраться, то, вполне возможно, это открытие можно будет использовать в сельском хозяйстве. У нас уже есть некоторые подтверждения данной гипотезы», — подчеркнула руководитель проекта, профессор СПбГУ Алла Лапидус.

Она добавила, что проект по изучению черневой тайги — междисциплинарный, он проводится в сотрудничестве с коллегами из Томского государственного университета. В проекте также участвуют сотрудники Всероссийского научно-исследовательского института сельскохозяйственной микробиологии, Института молекулярной и клеточной биологии СО РАН, Центрального сибирского ботанического сада СО РАН. Ученые проводят исследования в регионе Западной Сибири, уникальные свойства которого никем ранее не изучались столь многосторонне.

«Ученые проводили также исследования протозойного компонента почвы, в частности разнообразия амебоидных протистов, играющих очень важную роль в жизни почвенных микроорганизмов, круговороте вещества и энергии в почвенных местообитаниях. Нашими коллегами, участниками проекта из СПбГУ, были сделаны очень интересные находки, одной из которых является обнаружение нового вида амеб», — уточнила Алла Лапидус.

Доцент кафедры зоологии беспозвоночных СПбГУ Алексей Смирнов подчеркнул, что в рамках этого исследования был обнаружен ряд редких или вообще новых для науки видов амеб. Один из них — новый вид из отряда Leptomyxida, последовательность нуклеотидов в гене 18S рибосомальной РНК которого существенно отличается от уже всех известных видов. У нового вида амеб имеются и характерные морфологические отличия. Амеба получила название Leptomyxa silvatica (от латинского слова silva — лес). Полное название нового вида означает «происходящий из леса» в знак того, что изолирована амеба из лесного местообитания.

«Эта находка еще раз говорит о том, как мало мы знаем об огромном мире микроскопических животных. Численность гетеротрофных одноклеточных организмов в почвах может достигать огромных величин — десятков тысяч клеток в единственном грамме почвы. Они являются важнейшим природным компонентом, регулирующим численность почвенных грибов и бактерий. На морфологическом уровне нам известна лишь небольшая часть всего этого разнообразия. Исследования молекул ДНК, выделенных прямо из различных типов почв, показывают, что «своими глазами» мы видели не более 5% обитающих там организмов. Неоткрытыми остаются не только отдельные виды, но и целые крупные группы почвенных простейших. По этой причине так важны современные молекулярно-морфологические исследования, которые показывают нам, кому принадлежат обнаруженные сиквенсы и кто же на самом деле живет у нас в прямом смысле слова под ногами и вносит свой немаленький вклад в процессы, происходящие в почвах черневой тайги», — заключил Алексей Смирнов.

Ученые подчеркивают, что необходимо продолжать углубленное исследование черневой тайги, в том числе для защиты почвы «сибирских джунглей». Деградация редчайшего природного ресурса, считают эксперты, будет иметь необратимые негативные последствия, при которых восстановление уникальной экосистемы может оказаться невозможным.

Изучение собранных образцов самыми современными методами исследований стало возможным за счет созданного в СПбГУ уникального Научного парка — системы ресурсных центров, собравших в своем составе самое современное оборудование. В этом исследовании особенно активно было задействовано оборудование ресурсных центров ‎«Развитие молекулярных и клеточных технологий»‎, «Вычислительный центр СПбГУ», ‎«Биобанк» и «Культивирование микроорганизмов».

Исследования черневой тайги в СПбГУ проводятся в рамках проекта под руководством профессора СПбГУ Аллы Лапидус, поддержанного Российским научным фондом (№19-16-00049).

В 2022 году Санкт-Петербургский университет празднует Год зоологии, который приурочен к двум юбилеям зоологического образования в СПбГУ. В этом году исполняется 200 лет со дня открытия при университете первой в России кафедры зоологии. Также СПбГУ отмечает 150 лет с момента официального разделения кафедры на два самостоятельных научно-образовательных отделения — зоологии беспозвоночных и зоологии позвоночных.

В честь памятных дат в университете также запланированы научно-историческая сессия «Зоология в СПбГУ: история и современность», Догелевские чтения, арт-выставка «200 лет зоологии СПбГУ», экскурсии по кафедрам зоологии позвоночных и беспозвоночных, а также презентация книги о русском протистологе Владимире Шевякове.


20 мая, 2026
Ученые СПбГУ открыли новые виды бактерий из почв Северного Кавказа и Алтая
Биоинформатики и микробиологи Санкт-Петербургского университета и ВНИИСХМ открыли и описали новый в...
7 мая, 2026
Ученые обратили грибной «яд» против сородичей-вредителей
Защитить сельскохозяйственные культуры от грибов-вредителей без вреда для природы можно с помощью ...

Хотите рассказать о своем исследовании? Заполните форму на нашем сайте